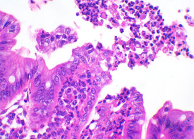
在上一篇文章中,我们提到肠道组织学能检测出可能的病原体,并且在某些病例中能确定是哪种病原体。例如,球虫、轮状病毒、TGEv、PEDv 、新型冠状病毒 、产气荚膜梭菌A型都会引起肠绒毛萎缩。如果采集的仔猪肠道样品放置超过5-6天,那么肠绒毛细胞质中就会有有性/无性生殖球虫 。如果没有球虫,就要用免疫组织化学检测轮状病毒/冠状病毒以确定肠道病原体。组织学检测产肠毒素大肠杆菌(ETEC)病发现:无数的甲球杆菌粘附在肠上皮细胞绒毛表面或外侧部(几乎存在于所有样品中)。产气荚膜杆菌C型会引起小肠肿胀出血。艰难梭菌是唯一一个能引起大肠病变的病原体。它常引起结肠水肿。艰难梭菌病的主要症状是:杯状细胞减少和结肠粘膜中性粒细胞渗透性加强(有时候会像火山爆发一样冲破上皮细胞膜)。最难用组织学方法诊断的病原是产气荚膜梭菌A型,它能引起肠绒毛萎缩,但是即使没有这种病变,也不能排除与它无关的可能性。


艰难梭菌

| 轮状病毒 | 产气荚膜梭菌 | 大肠杆菌 |
在需氧和缺氧条件下,用微生物学方法检测新鲜肠道样品是很必要的。大肠杆菌在血琼脂和麦康凯琼脂上很容易生长,但是为了证明致病因子,如菌毛(F4, F5, F41, F18,…)和毒素(LT, STa, STb, STx2e, …)基因,要求诊断结果必须具有典型性,即使是单独生长的β-溶血菌落也不能作为最终的诊断结果。典型性结果最常用的方法是多重PCR。为了确诊产气荚膜杆菌 C型,必须要进行厌氧培养,并结合分子方法(多重PCR)测定毒素基因(β-毒素)。产气荚膜杆菌A型常规细菌学检测与C型完全相同。过去, β-2 毒素基因是产气荚膜杆菌A型菌株病原的代表产物,但是我们团队和爱荷华州立大学团队近期研究表明:在健康仔猪中, β-2 阳性产气荚膜杆菌A型菌株比在腹泻仔猪中更常见。因此,产气荚膜杆菌A型的确诊是最难的。
常规诊断中,病毒很难分离。因此需要替代方法。在美国,只在一些实验室用透射电子显微镜法检测冠状病毒和轮状病毒颗粒。常用聚丙烯酰胺凝胶电泳 (PAGE)检测粪便样品,确定轮状病毒 A、B 和 C的RNA片段,但是当使用多重PCR时,检测灵敏度会更高。在北美,常用不同设计的引物进行多重 PCR,诊断PED、 TGE 和新型冠状病毒等冠状病毒。
大肠粪便原料对检测艰难梭菌毒素A、 B是必要的。因为这个病原体是肠道常规菌群的一部分,为了诊断这种病原,必须要用ELISA试剂盒检测以上提到的毒素。有必要提一下,用于人类样品检测的ELISA试剂盒是最优的,但是用于检测仔猪粪便的ELISA试剂盒其灵敏度很低。这与样品量有关,因此,建议至少检测3-6个粪便样品。基于同样的原理,球虫卵母细胞可以直接进行粪便检测;但是因为灵敏度很低,所以建议从每窝中采集3-5只仔猪(有腹泻临床症状的7-21日龄的仔猪,一共占仔猪的10%)的粪便样品。
总之,检测新生仔猪肠道病原体常常会遇到困难。要记住:用整套方法检测所有可能的病原。为此,必须要收集所有样品,检测所有可能引起腹泻的病原。PCR是一个非常有用的工具,但也不能全依赖它。像组织病理学这样的传统方法不仅可以直接说明结果还能开拓你的视野。

