简介
该猪场是一家位于北爱尔兰的商品猪场,存栏350头母猪,自繁自养且有自己的加工厂(培根)。

该猪场地方性肺炎(猪肺炎支原体),猪胸膜肺炎(胸膜肺炎放线杆菌),猪流感和蓝耳病(猪繁殖与呼吸综合症)均为阴性。
疫苗接种方案如表1所示。
表1:疫苗接种程序
| 疫苗 | 小母猪 | 母猪 | 公猪 | 仔猪 |
|---|---|---|---|---|
| 细小病毒 + 丹毒 + 钩端螺旋病体 | 选种时和配种前2周分别注射2毫升 | 配种前两周注射2毫升 | 每年注射两次每次2毫升 | |
| 自体疫苗(猪链球菌病和金黄色葡萄球菌) | 配种后65天和95天分别注射2毫升 | 配种后95天注射2毫升 |
自场繁殖后备母猪。使用公猪催情。使用同一来源的精液对小母猪和经产母猪进行人工授精。
距最近的猪场6公里
历史
猪场因过去3天内育成猪的呼吸窘迫和死亡率增加联系了兽医。
调查
3.1. 临床调查
在2017年11月的猪场访问期间,很多18-24周龄的猪有临床咳嗽现象(图1和视频1和2)以及身体下部和远端部位的紫绀。料槽尚有湿饲料,表明食欲
不振。检测临床发热受影响动物的直肠温度。动物的体况正常。

图1. 生病栏中咳嗽的猪。注意:生病栏中可自由采食干饲料。
视频1:临床感染猪的咳嗽
2周后进行第二次猪场访问,以收集种猪群和生长/育成猪的血液样本。
爆发前从断奶到结束的死亡率为3.5%,主要是由于脑疝和/或直肠脱垂而必须被安乐死的动物。
3.2. 实验室调查
2017年11月,在猪场对三头死猪进行尸检(图2)。

图2:育成猪的身体下部和远端部位发绀。
3头猪死后尸检均可见肺实质有众多瘀点(图3)。收集样品并提交给实验室进行分析。

图3:肺实质可见众多瘀点
肺部的实验室调查总结见表2。
表2:提交的三份肺部样本的实验室结果。
| 细菌学发现 | 生物分子学发现 | |
|---|---|---|
| 肺部样本 1 | 没有增长 | 肺炎支原体和蓝耳病的RT-PCR结果为阴性。 甲型流感病毒H1N1亚型的RT-PCR (CT:18.1)结果为阳性. |
| 肺部样本 2 | 没有增长 | 肺炎支原体和蓝耳病的RT-PCR结果为阴性。 甲型流感病毒H1N1亚型的RT-PCR (CT:26.9)结果为阳性 |
| 肺部样本 3 | 没有增长 | 肺炎支原体和蓝耳病的RT-PCR结果为阴性。 甲型流感病毒H1N1亚型的RT-PCR (CT:31.5)结果为阳性 |
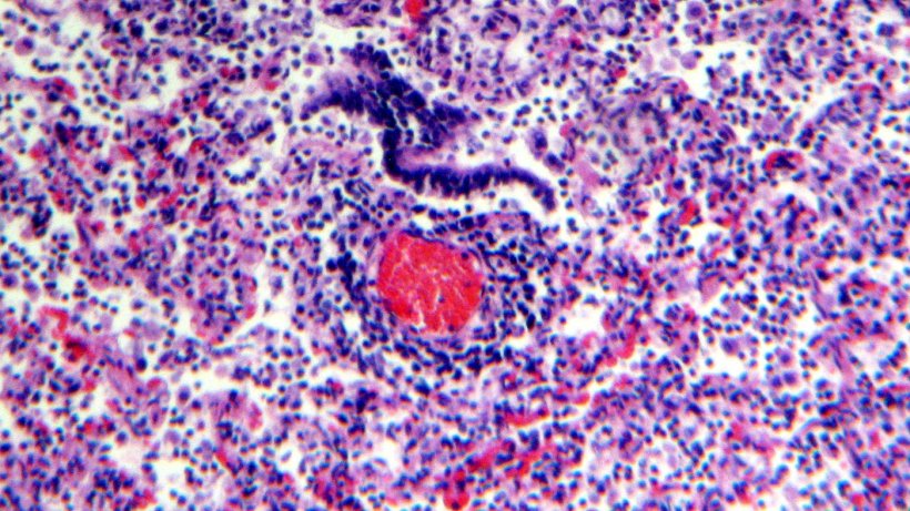
肺组织的组织学检查可见固有层和支气管粘膜下层的淋巴细胞浸润(图4和5)。

图4.细支气管可见呼吸道上皮的脱落和坏死,以及粘膜和粘膜下层的明显淋巴细胞浸润。

图5.血管周围淋巴细胞浸润。
表3总结了从种猪和育成猪收集的14份血液样本的实验室调查。
表3:收集的14份血液样本的实验室调查
| 蓝耳病(ELISA) | 甲型流感 (ELISA) | 胸膜肺炎放线杆菌(ELISA) | 2型圆环病毒(ELISA) | 猪肺炎支原体(ELISA) | |
|---|---|---|---|---|---|
| 3 x 12周的咳凑猪 | 3 (-) | 2 (+) 1 (-) |
3 (-) | 3 (-) | 3 (-) |
| 2 x恢复猪 | 2 (-) | 1 (+) 1 (-) |
2 (-) | 2 (-) | 2 (-) |
| 2 x产自不同母猪的咳凑仔猪 | 2 (-) | 2 (+) | 2 (-) | 2 (-) | 2 (-) |
| 7 x母猪 | 7 (-) | 7 (+) | 7 (-) | 7 (-) | 7 (-) |
测试阳性甲型流感样本的H1N1,H3N2和H1N2亚型以及大流行亚型panH1N1和panH1N2的抗体。在受影响动物中检测到针对所有这些亚型的非常高的抗体滴度(≥320至2560),表明最近的感染。
4. 鉴别诊断
根据临床和实验室调查,鉴别诊断清单如下:
- 蓝耳病(猪繁殖与呼吸综合征)。
- 甲型流感。
- 地方性肺炎(猪肺炎支原体)。
- 猪胸膜肺炎(胸膜肺炎放线杆菌)。
根据病史和一致的临床和实验室检查,确诊为急性甲型流感病毒。
5. 控制程序
本猪舍实施了流感紧急程序,具体如下:
- 对所有种猪进行两次大规模疫苗接种,间隔3周。
- 一诊断出病毒感染,就在断奶时接种2ml商品流感疫苗。
- 为了抵抗呼吸道病原体,每天用每吨含有85ppm酒石酸泰万菌素的饲料,连续添加20天。
一旦整个种猪群针对流感进行了两次免疫,我们实施以下措施:
- 后备母猪在配种前免疫2次,每次间隔3周。
- 种猪群在分娩前14天加强免疫一次。
不幸的是,在疫情爆发时,该国现有的流感疫苗并未包括panH1N1和panH1N2的大流行亚型。 作为预防措施,自2018年9月以来,已在种猪群中使用了涵盖大流行亚型的流感疫苗。
6.控制程序的结果
死亡率从爆发开始时的3.5%增加到4周后的11.5%(峰值)。在最初爆发10周后,死亡率逐渐降至正常水平。
2个月内受孕率从94%下降到86%。 这反映在同一时期内分娩率从91%降至84%。 没有流产。
7. 讨论
猪流感是由A型流感病毒引起的急性,传染性呼吸道疾病。该疾病的特征是突然发作,咳嗽,呼吸困难,发烧和虚脱,随后迅速恢复。病变通常在呼吸道中迅速出现并迅速消退,但在少数病例中,严重的病毒性肺炎可能导致死亡(Easterday等,1999)。在该病例的临床调查中观察到所有这些临床体征。
猪流感病毒是由正粘病毒科(Orthomyxoviridae)中的甲型流感病毒引起的。有大量关于甲型流感病毒的抗原性,遗传性,结构性和生物学特征的信息(Murphy等,1990; Lamb等,1996)。 病毒的两种表面糖蛋白,血细胞凝集素(H)和神经氨酸酶(N)是在宿主中诱导保护性免疫的最重要的抗原,故表现出最大的变异。
2011-2013年在北爱尔兰进行的监测显示,大流行性H1N1病毒是从猪中分离的主要亚型,其次是其它亚型(H1N1,H3N2),其发生率较低(Borobia等,2015)。
在这次爆发时,天气条件有利于病毒的传播。爆发前前3个月天气潮湿,气温波动,强风。很可能通过人类或椋鸟(图6)的近距离接触或空气传播(附近其它猪场)感染猪。该临床病例可能有以上2种原因造成。

图6.椋鸟与育肥猪直接接触,采食料槽内的剩余饲料。
据报道,猪流感的发病率很高(接近100%)(Taylor,1995; Easterday等,1999)。 Taylor(1995)和Easterday等,(1999)报告其死亡率低于1%,除非有并发感染和/或感染猪较小。不幸的是,在该案例,死亡率高于1%,如前所述。
不同作者在文献中描述了猪流感的生殖,分娩和新生仔猪问题(Taylor,1995; Muirhead等,1997; Easterday等,1999; Jackson等,2007),仅在此案例中观察到较低的受孕率和分娩率。
在饲料中使用酒石酸泰万菌素是基于剑桥大学病理学系David Brown博士和Amanda Stuart博士的报告。与其它大环内酯类抗生素泰乐菌素相比,这种大环内酯类抗生素对可减少蓝耳病毒体外感染细胞的数量。泰万菌素还可减少几种其它病毒感染的细胞数量,包括人类和马流感病毒(Brown等,2006)。此外,与其它大环内酯类相比,泰万菌素在治疗临床疾病方面具有更好的细胞内积累和分布(Stuart等,2007)。


