病毒是影响猪呼吸系统疾病的重要病原体。这些病毒包括猪繁殖和呼吸综合征病毒(PRRSV)、猪圆环病毒2型(PCV2)、猪流感病毒(SIV)和猪呼吸道冠状病毒(PRCV)。前三种被认为是主要病原体,能单独引起疾病,而第四种是次要病原体,与另一种主要病原体并发感染或动物存在免疫抑制时起作用。
PRRSV是一种RNA病毒,隶属于动脉炎病毒科动脉炎病毒属,目前已被归入新的β动脉炎病毒属(以前是动脉炎病毒属)。其显著的遗传多样性使得PRRSV的两种基因型(欧洲和北美)被认为是两种不同的病毒种类:β动脉炎病毒1型,对应于基因型1或欧洲型(PRRSV-1),其原型是莱利斯塔德病毒(LV);和β动脉炎病毒2型,对应于基因型2或北美型(PRRSV-2),其原型是VR-2332菌株。

PRRSV能够调节甚至逃避宿主的免疫反应。该病毒感染肺泡巨噬细胞(其主要靶细胞),改变其功能,并通过坏死和/或凋亡导致其死亡,从而延迟了有效的适应性免疫反应的发生,并使动物容易发生继发感染。
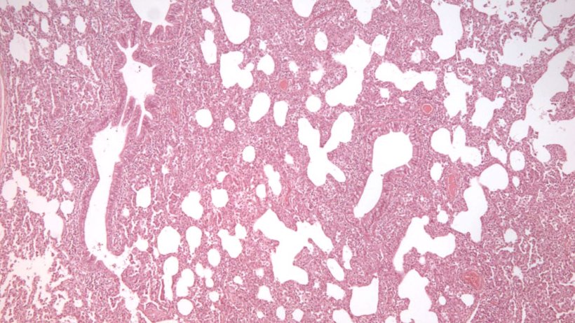
呼吸道疾病多发于生长育肥猪,以间质性肺炎为特征。从宏观上看,当从胸腔取出时,肺部不会塌陷,呈橡胶状,并且在整个肺实质中分布着多灶性的红色斑块状区域(图1)。在显微镜下,肺泡间隔增厚,伴有淋巴细胞和巨噬细胞浸润,以及II型肺细胞增生和肥大(图2)。


PCV2-是一种小型,无包膜的单链DNA病毒,属于圆环病毒属和圆环病毒科。它是许多被称为圆环病毒相关疾病的病原体,包括PCVAD(猪圆环病毒相关疾病)-传统上被称为断奶后多系统衰竭综合症(PMWS),PCV-2呼吸系统疾病,PCV-2肠道疾病 ,PCV-2生殖衰竭以及猪皮炎和肾病综合征(PDNS)。
PCV2在免疫系统的各种细胞中增殖,如巨噬细胞、树突状细胞或淋巴细胞,导致淋巴衰竭,降低宿主对原发性和/或继发性病原体的反应能力。
PRRSV,我们必须求助于其他诊断技术,如免疫组织化学(图3),原位杂交或PCR,以确定诊断。由于PRRSV感染与PCV2的复制和毒力增加有关,因此同时分离到这2种病毒也是很常见的。

SIV是一种多形包膜病毒,属于正粘病毒科,包括七个不同属:甲型,乙型,丙型和丁型流感病毒,Isavirus ,Quaranjavirus和Thogotovirus。 尽管已在猪中鉴定出甲型,乙型,丙型和丁型流感病毒,但大多数引起猪流感的毒株都属于甲型和丙型流感病毒。
SIV在上呼吸道和下呼吸道的上皮细胞中复制,改变了粘膜纤毛系统的功能,从而促进了继发性细菌感染的发展。它在肺部引起的主要病变是支气管间质性肺炎,其宏观特征是弥漫性,深红色或棕色的颅腹部或多灶性病变,与猪肺炎支原体引起的病变非常相似(图4)。 在微观水平上,它会引起坏死性细支气管炎(图5),伴有支气管周围淋巴组织细胞浸润肺泡隔和粘液脓性渗出物。


猪呼吸道冠状病毒(PRCV)是一种具有呼吸道特异性的传染性胃肠炎病毒缺失突变体。它可感染鼻腔、气管、支气管和细支气管的上皮细胞(图6)以及I型和II型肺细胞。肺部病变的宏观特征是红棕色实变区,边界不规则,主要位于肺中叶和副叶(图7)。

在显微镜下,病变模式类似于多灶性支气管间质性肺炎,表现为支气管上皮和细支气管上皮细胞坏死、鳞状化生。支气管周围、血管周围和肺泡隔淋巴细胞浸润,伴随着II型肺泡细胞的增殖,以及在气管和肺泡腔内有坏死的上皮细胞和白细胞。


猪呼吸系统疾病是一种多病因疾病,PRRSV、PCV2和SIV在其中起着重要作用,因其可导致免疫反应(PRRSV、PCV2)延迟或粘膜纤毛系统(SIV)功能衰竭。
来源:pig333




