约有 15-20% 的猪在出生时被归为宫内发育迟缓(IUGR)或者体重低 [1],IUGR 的后果是宫内身体生长和肠道发育受损,因为维持脑部和心脏发育具有更高的代谢优先性。IUGR 仔猪出生时的身体生长和肠道发育受损,会进一步使其在之后的生命阶段中的生存和生长复杂化。微生物群被广泛报道在断奶仔猪的肠道发育和生产性能中具有重要作用。已开发了多种方法来改变猪的微生物种群,包括采用直接饲喂微生物、短链脂肪酸、饲料或水的酸化、改变营养物质密度和使用高度可消化的特种饲料成分。在这些方法中,调整日粮蛋白质水平和高度可消化的特殊饲料成分似乎最有可能持续改变肠道微生物群,从而利于肠道健康和发育。

欧洲营养学期刊[2]最近发表的一篇文章详细阐述了蛋白质来源对正常出生体重(NBW;1.57±0.03kg) 和IUGR猪 (1.09±0.02 kg) 的微生物群和肠道健康的影响。该研究共选用 18对同窝出生公猪(同一窝中的一头NBW和一头IUGR 公猪组成一对)。所有仔猪在21 日龄断奶,转运到断奶猪舍的独立养殖区。在窝内,将NBW 和IUGR 猪随机分配到添加5% 大豆浓缩蛋白(SPC) 和4.18% 喷雾干燥猪血浆(SDPP) 的断奶日粮组,断奶后饲喂14天。两种断奶日粮都包含酸化剂,但不含抗生素或药用水平的氧化锌。由此可分为4个处理组,每组9头猪:NBW 组饲喂SPC 日粮;IUGR 饲喂SPC 日粮;NBW 饲喂SDPP 饲粮;IUGR 饲喂SDPP 日粮。
无论 NBW 和IUGR 组状态如何,SDPP 日粮均能一致改善第14 天猪的体重、生长率和饲料效率。SDPP 日粮显著提高猪的平均日增重ADG 和料肉比G:F,这有助于提高最终体重(BW)。有趣的是,IUGR 猪饲喂SDPP 日粮的平均日增重ADG 与NBW 猪饲喂SPC 日粮的平均日增重ADG 非常相似。
表 1. 日粮中蛋白质源对正常和宫内发育迟缓的21 日龄断奶仔猪生长性能的影响

摘自Che等 2019,21日龄仔猪断奶
处理组,n=9 头/组
SPC: 大豆浓缩蛋白。SDPP: 喷雾干燥猪血浆。BW: 体重。IUGR: 宫内生长迟缓。NBW: 正常体重。ADG: 平均日增重。ADFI: 平均日采食量。G:F: 平均日增重与平均日采食量比值。
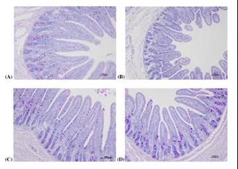
在14天的试验中,不考虑猪的体重状况,SDPP日粮组的腹泻指数均显著低于SPC日粮组。同样,与SPC日粮组相比,SDPP日粮显著提高了猪的回肠绒毛高度(图1),血浆d-木糖趋于更高,表明小肠吸收能力更好。综上所述,仔猪断奶后肠道发育良好与日粮中添加SDPP获得更好的生长性能有关。


图1.日粮的蛋白质来源对仔猪回肠组织形态的影响
(A) NBW-SPC; (B) IUGR-SPC; (C) NBW-SDPP; (D) IUGR-SDPP. 摘自Che等,2019.
使用Shannon和Simpson指数得到4个处理组间细菌群落多样性和丰富度的差异(图2)表明,饲喂SDPP日粮的NBW和IUGR猪的微生物多样性均显著增加。微生物多样性低通常与某些感染性肠道疾病有关,包括炎症性肠道疾病。因此,SDPP日粮诱导提高微生物多样性,可能有利于肠道健康,一定程度上解释腹泻指数降低,以及生长率和饲料效率提高的原因。

图2.四个处理组中细菌群落多样性和丰富度的差异。摘自Che 等2019.
在 SDPP 日粮饲喂的猪样本中,厚壁菌门的相对丰富显著提高,但是变形菌降低。厚壁菌门的比例越高,猪的生长和饲料效率越好,说明细菌门可能与增重有关。众所周知,许多与变形杆菌相关的细菌会导致肠道病理和肠道炎症。在结肠中显著而低丰度的变形杆菌支持了SDPP 日粮饲喂仔猪后观察到较好的肠道组织形态。
饲喂 SDPP 日粮的仔猪体内普雷沃氏菌含量也较高。普雷沃氏菌属主要产生短链脂肪酸。短链脂肪酸能够直接被肠上皮细胞用作能量来源,也能保护宿主对抗结肠疾病,改善肠道的屏障功能。在该研究中,饲喂SDPP 日粮后,仔猪的结肠中乙酸、丙酸和丁酸的浓度也相应升高(图3)。

图3.日粮的蛋白质来源对宫内生长迟缓断奶仔猪结肠短链脂肪酸浓度的影响(白矩形, NBW-SPC;灰色的长方形, IUGR-SPC;排矩形, NBW-SDPP;黑色矩形, IUGR-SDPP)。摘自Che 等2019.
饲喂 SDPP 日粮的仔猪中大肠杆菌-志贺氏菌丰度明显低于饲喂 SPC 日粮的仔猪中大肠杆菌-志贺氏菌丰度。已知一些大肠杆菌-志贺氏菌会引起猪的肠道病变。SDPP 日粮饲喂后仔猪体内大肠杆菌-志贺氏菌的减少在一定程度上与仔猪腹泻指数的降低相吻合。因此,日粮中添加 SDPP有利于猪直肠内微生物的平衡。此外,SDPP 的回肠消化率较高[3],可降低进入大肠的饲粮未消化蛋白质和多肽的数量。结肠中未消化的蛋白质和多肽可作为病原微生物的生长燃料,对宿主产生毒性影响。
结论
综上所述,IUGR 影响断奶仔猪的生长率和肠道功能。SDPP 日粮提高IUGR 和NBW 猪的生长率和肠道功能。饲喂SDPP 日粮的仔猪也提高了微生物菌群多样性,增加有益菌的丰度(例如,普氏菌属),减少病原菌的丰富(例如,大肠杆菌-志贺氏菌)。这些发现支持了某些膳食功能蛋白质来源能够调节微生物的组成,维持肠道健康,在减少对抗生素的依赖和药用水平氧化锌控制断奶腹泻方面有重要作用。因此,在断奶仔猪饲料中使用易消化功能性蛋白质,如喷雾干燥血浆是一种非常有效的营养策略,调节肠道微生物群,有利于肠道健康和发育,以及提高猪生产中综合生长性能和经济效益。
参考文献
[1] Wu et al., 2006; Board invited review: intrauterinegrowth retardation: implications for the animal sciences. J Anim Sci84(9):2316-2337. https://doi.org/10.2527/jas.2006-156
[2] Che et al., 2019; Microbialinsight into dietary protein source affects intestinal function
of pigs with intrauterine growth retardation. European J Nutritionhttps://doi.org/10.1007/s00394-019-01910-z
[3]Bailey et al., 2021; Effect of spray dried plasma on the standardized ileal digestibilityof crude protein and amino acids in diets based on different ingredient combinationsfed to young pigs.J. Anim. Sci Vol. 99, Suppl. S1:80-81.
来源:Yanbin Shen 博士,全球技术服务总监;Joe Crenshaw 博士,APC技术服务副总裁 原文链接: https://mp.weixin.qq.com/s/hZVSMdiRuGhg60dET_4bFw
