
针对呼吸道疾病的口服疫苗:激活共同黏膜免疫系统
猪的口服疫苗接种此前仅限于针对肠道病原体,如今正成为一种对抗呼吸道疾病的创新策略。通过挖掘共同黏膜免疫系统(CMIS)的潜力,新的制剂可以从肠道开始,在远处的黏膜部位引发免疫反应。

猪的口服疫苗接种此前仅限于针对肠道病原体,如今正成为一种对抗呼吸道疾病的创新策略。通过挖掘共同黏膜免疫系统(CMIS)的潜力,新的制剂可以从肠道开始,在远处的黏膜部位引发免疫反应。

通过探索共同黏膜免疫系统(CMIS)的机制,口服疫苗能够激活机体不同黏膜部位的协同免疫反应。在本文内容中,我们将阐述肠道相关淋巴组织(GALT)的局部激活如何引发对呼吸道等远处黏膜组织的保护作用,从而扩大免疫保护的范围。

围产期用药对微生物群的副作用可能对动物健康不利

这种 PRRSV 毒株正在影响美国。了解这些病毒的来源可以帮助我们阻止这种传播。

在这篇文章中,我们总结了我们与Nauwynck博士关于PRRS病毒宿主进化研究结果的进一步讨论。

猪肺炎支原体与猪呼吸系统的大多数混合感染有关。它是如何起作用的,有什么影响?

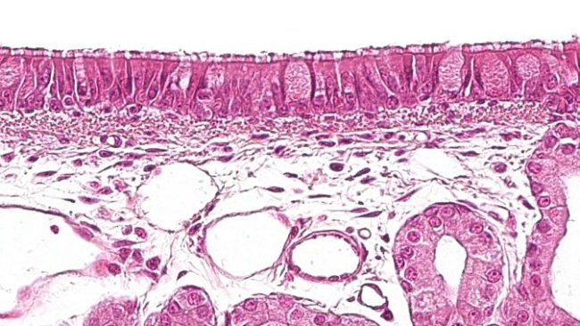
猪的呼吸防御系统由哪些细胞构成?他们组织结构如何,又是怎么相互传递信息的?

根特大学的著名教授Hans Nauwynck博士与我们一起回顾了自30年前首次发现PRRS病毒以来,他在PRRS病毒研究中取得的最重要发现。

一旦猪出现第一个感染症状,对猪舍进行封锁,仅可通过指定的特定入口进入猪舍。

具有明显标识的HA的4种病毒品系在欧洲猪群中共同流行,即使他们在不同国家的流行性和发病率水平不同,仍可被认为是地方流行性动物病。


