页面 6 的 文章关于 猪仔
哺乳期不同阶段限制母猪对母猪行为和损伤以及仔猪性能的影响
总之,泌乳期小母猪产后7天由限制饲喂转为散养对其活力和皮肤病变及断奶前死亡率均没有影响。故推荐在泌乳后期可将母猪转为一定范围的散养。
新生仔猪经口补充凝乳酶对血清球蛋白浓度的影响
本研究旨在确定仔猪经口补充凝乳酶是否可增加免疫球蛋白的吸收,进而增加仔猪血清球蛋白浓度。对比了经产和初产母猪,诱导和非诱导分娩的仔猪的免疫球蛋白浓度。
注射外源血浆对出生体重低的新生仔猪存活率的影响
在猪场,新生仔猪,特别是出生体重低(LBW)的仔猪的死亡率至关重要。多年以来,对提高LBW仔猪存活率和免疫状况的多种措施进行了评估,如血浆或血清转移。总的来说,在猪和其他动物,如马上,对血浆或血清转移的研究结果呈现多样性。本实验旨在确定血浆转移是否可在商品猪场作为一种改善LBW仔猪整体健康状况和减少死亡率的有效措施。

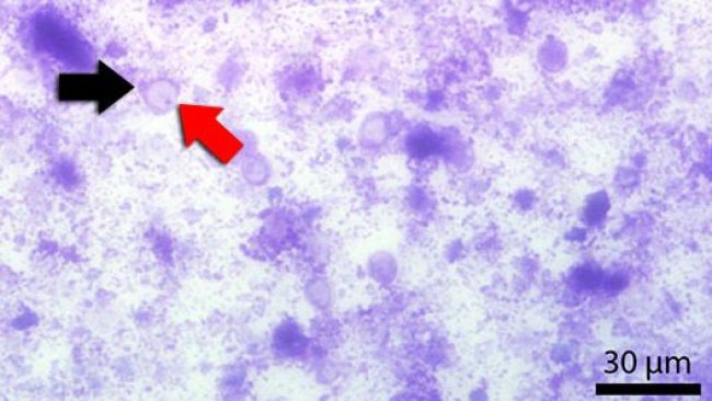
临床案例: 芽囊原虫:我们必须考虑的一个新的肠道病原体?
2015年3月,澳大利亚某猪场发现了猪的芽囊原虫病,咨询了大学的猪病诊所。此猪场的仔猪产自存栏60头母猪的封闭生产系统,仔猪28天断奶,母猪产子间隔期为3周。母猪常规接种圆环病毒和猪丹毒疫苗,仔猪接种圆环病毒2型和肺炎支原体疫苗。无其他可知的疾病信息。
替代二氧化碳实施安乐死的气体:仔猪的感受
新生儿阶段对猪的一生来说至关重要,此阶段仔猪倾向于生病或体质弱。此阶段是安乐死程序实施最多的阶段,如果判断仔猪不能恢复就对其实施安乐死。任何安乐死方法必须人道,实用,经济并可被社会普遍接受。
蓝耳病爆发期间,低差的断奶过渡期平均日增重与肠道疾病的病理学和免疫学标记无关
此研究旨在研究出生体重较低的猪或过渡期平均日增重(tADG)处于最后10%的猪,与出生重较高或生长速度较快的猪相比,是否其病原感染的机率或肠道病变较高。
在集约化猪场,限制仔猪转移(交叉哺育)对仔猪断奶体重的影响
仔猪的转移(交叉哺育)包括把仔猪从母乳较差的母猪转移到母乳好的母猪,或者窝产仔猪数过多时,将仔猪转移到有多余乳头的母乳好的母猪,此法可提高每头母猪的每窝仔猪在数量和体重上的均一性。实际操作中,交叉哺育经常在24至48小时后被多次操作,这就是为什么阐述在仔猪出生12小时后限制仔猪移动的必要性




