在猪场,猪呼吸系统疾病很少是由单一病原体引起。通常,几种病原体同时作用,加上管理不当和环境条件,导致猪呼吸系统疾病综合征(PRDC)。
在大多数情况下,影响呼吸系统的主要病原体包括:猪繁殖和呼吸综合征病毒(PRRSV)、猪圆环病毒2型(PCV2)、猪流感病毒(SIV)和猪肺炎支原体(图1),与之相伴的是利用原发感染发展其致病作用的机会性细菌,如多杀性巴氏杆菌、支气管炎博德特菌或副猪嗜血杆菌等。


在图1中,我们可以看到猪肺炎支原体是如何与大多数确诊为PRDC的混合感染有关的。这种病原体攻击支气管和细支气管上皮细胞的纤毛,改变粘液纤毛系统,也会导致与呼吸黏膜相关的淋巴组织增生。这两种作用都促进了影响猪呼吸系统的其他主要和次要病原体的定植、增殖和致病机制。不同的实验研究表明,猪肺炎支原体除了具有促进其他病原体的作用外,通常也会增强它们的活性,因此,猪肺炎支原体混合感染通常对受影响动物产生最严重后果,因此,对猪场的盈利能力也是最不利的。
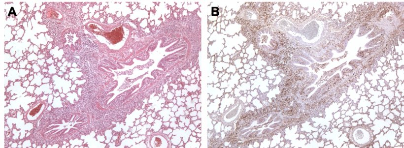
猪场最常见的PRDC混合感染之一是猪肺炎支原体和猪蓝耳病病毒(图2)的混合感染。在诊断出这种混合感染的病例中,已观察到两种病原体的血清阳性动物之间存在正相关性;换句话说,大多数猪蓝耳病病毒阳性的动物,其猪肺炎支原体也呈阳性。此外,已证实猪肺炎支原体可延长和增加PRRSV产生的肺炎,这可能是由于在两种病原体混合感染的动物中,促炎细胞因子(如IL1-β、IL-8和TNF-α)的增加,这些细胞因子可增加肺部的炎症反应;IL-10的合成也在增加,IL-10是一种抗炎的细胞因子,它可以抑制和调节其他细胞因子的产生,并通过阻止不受控制的炎症反应的触发,使损伤在肺部持续存在。IL-10还能够调节动物的免疫反应,这与其他机制的激活一起,改变了适应性免疫反应,使病原体在肺部的作用持续更长时间。

在猪肺炎支原体和PCV2混合感染的病例中,已证明猪肺炎支原体减轻了PCV2在肺和淋巴器官中产生的病变的严重程度,促进了病毒的复制,并在组织中持续存在(图3),从而增加了PCV2系统性疾病的发病率(tPMWS-断奶后多系统衰竭综合征)。

在猪肺炎支原体和猪流感混合感染的动物中(图4),观察到当猪感染猪肺炎支原体后感染低毒力的猪流感病毒株时,临床症状和肺部病变显著增加,表明支原体能够增加这些猪流感病毒毒株的毒力。

猪肺炎支原体也经常与其他细菌相关,无论它们是原发性病原体,如胸膜肺炎放线杆菌(图5),还是机会性致病菌,如多杀性巴氏杆菌(图6),都能增强它们在肺中的作用。


正如我们所看到的,当猪肺炎支原体与其他PRDC原发性病原体共同感染时,它会起到抑制和延长这些病原体造成的损害作用,这就是为什么它的控制对于最小化PRDC的影响和减少与疾病相关的经济损失至关重要。

来源:pig333





